检测到您当前使用浏览器版本过于老旧,会导致无法正常浏览网站;请您使用电脑里的其他浏览器如:360、QQ、搜狗浏览器的极速模式浏览,或者使用谷歌、火狐等浏览器。
下载Firefox
5-羟色胺(5-HT)又称血清素(serotonin),是一种重要的单胺类神经递质,广泛分布于中枢神经系统和外周组织。中枢神经系统的5-HT参与了进食、睡眠、学习记忆、情绪、社交等多种行为的调节,而外周的5-HT则对胃肠蠕动、血管收缩、血小板聚集等生理过程的调控至关重要。5-HT系统的失调与抑郁症(depression)、创伤后应激障碍(post-traumatic stress disorder, PTSD)、物质滥用及行为成瘾等精神障碍紧密相关。氟西汀(fluoxetine,商品名百忧解)等选择性5-HT再摄取抑制剂作为目前临床上最常用的一类抗抑郁药,具有抗抑郁和抗焦虑的双重作用。由此可见,5-HT系统的生理作用和临床价值均极为重要。
令人遗憾的是,我们对5-HT系统的生理功能及作用机制仍知之甚少,这极大地限制了精神病学精准靶向药物的革新与应用。5-HT可在多个核团释放,在体内有超过10种受体,作用时程短至亚秒级,长至数天,系统错综复杂。近年来,领域内学者在小鼠5-HT能神经元的全脑投射描绘及对特定5-HT能神经元在奖赏、惩罚、进食等过程中的活动记录方面取得了一些突破。这些研究为解析5-HT系统的功能提供了重要信息。然而,诸多关键机制问题仍悬而未决。譬如,在不同行为中,5-HT如何被系统地释放?5-HT在不同脑区有何动态差异?5-HT在生理和病理状态下的释放又有何不同?传统的检测5-HT的方法包括微透析法、快速扫描循环伏安法等,但它们受限于时间或空间分辨率的不足,以及在长时段的检测过程中信号不够稳定,因此很难实现长时程对5-HT在体动态变化的灵敏检测。因此,具有细胞特异性、高时空分辨率的5-HT动态解析工具的开发将为解决这些重要的科学问题提供强有力的工具。2021年4月5日,PA视讯游戏平台官网李毓龙实验室在Nature Neuroscience杂志在线发表了题为“A genetically encoded sensor for measuring serotonin dynamics”的研究论文,报道了新型基因编码的5-HT荧光探针的开发及其在多种模式生物中的成功应用。
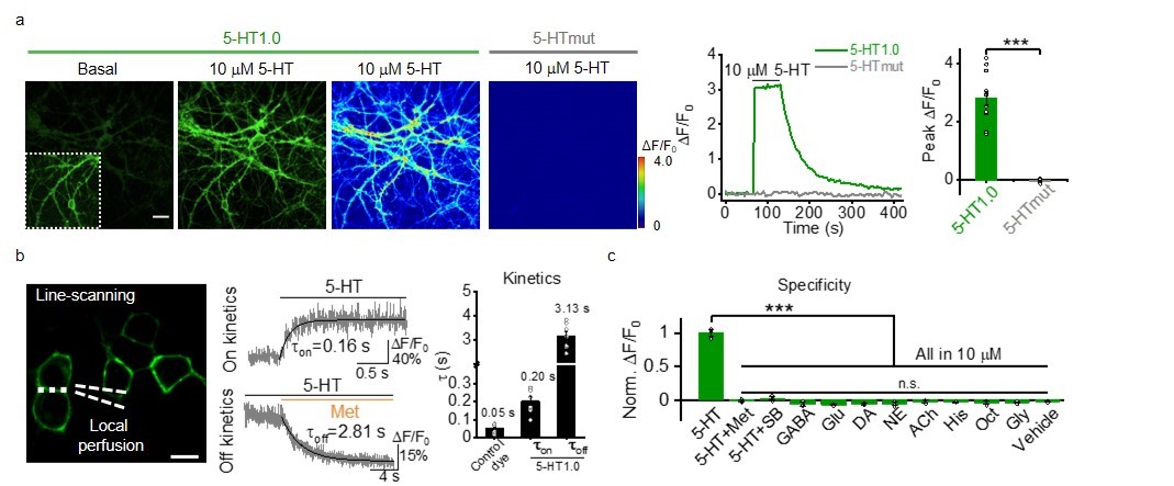
李毓龙实验室是新型神经递质感受器研发领域的开拓者,近年来已自主研发乙酰胆碱、多巴胺、去甲肾上腺素、腺苷等神经递质或神经调质的高效荧光探针。上述探针已广泛应用于神经环路功能及相关信号分子释放机制等领域的研究。沿用课题组近年来应用G蛋白偶联受体(G-protein coupled receptor, GPCR)构建荧光探针的策略,李毓龙课题组将内源性5-HT受体与循环重排的绿色荧光蛋白(circularly permutated green fluorescent protein, cpGFP)融合,通过一系列蛋白质工程优化,成功开发了新型G蛋白偶联受体激活依赖的GRAB(GPCR-Activation-Based)5-HT荧光探针GRAB5-HT1.0。GRAB5-HT1.0在体外培养的神经元中对5-HT的荧光信号响应幅度接近300%,对5-HT分子具有高度的特异性及亲和力,反应动力学速率可达亚秒级别(图1)。

图1:新型5-HT荧光探针的刻画。
(a)GRAB5-HT1.0和GRAB5-HTmut在神经元中的表达以及对5-HT的荧光信号响应。(b)GRAB5-HT1.0在HEK细胞中的动力学特征。(c)GRAB5-HT1.0对5-HT的分子特异性。
为探究GRAB5-HT1.0在不同模式生物中应用的普适性,研究者分别在果蝇和小鼠中对探针功能进行了检测。GRAB5-HT1.0不但能够在活体果蝇大脑中检测到生理刺激所引起的单个神经元的5-HT释放,还可以结合光纤记录系统,在自由活动的小鼠中实时检测睡眠-觉醒过程中5-HT的动态变化。有意思的是,结合双光子成像系统,GRAB5-HT1.0还能长时程在头部固定的小鼠中检测精神兴奋类药物引起的5-HT水平改变(图2)。
图2:新型5-HT探针的应用。
(a)GRAB5-HT1.0在果蝇蘑菇体的表达及对气味、腹部电击、外源5-HT的荧光信号响应。(b)GRAB5-HT1.0在自由活动小鼠中检测内源5-HT在睡眠觉醒过程中的动态变化。(b)GRAB5-HT1.0在头部固定的小鼠中检测精神兴奋类药物引起5-HT水平的变化。
新型5-HT荧光探针是进一步探究5-HT系统功能的重要工具,为解析大脑复杂神经环路奠定了方法学基础。同时,该工作也进一步证明课题组采用GPCR激活原理构建荧光探针策略的普适性。我们期待在不久的将来能开发出更多针对不同重要信号分子的荧光探针,为精确解析神经递质和神经调质等重要分子功能开辟新的道路。
PA视讯游戏平台官网博士生万金霞为第一作者,PA视讯游戏平台官网李毓龙教授为通讯作者。PA视讯游戏平台官网博士生李雪霖、钱统瑞、曾健智、邓飞等对文章做出了重要贡献。该工作得到了中科院脑智技术卓越创新中心徐敏实验室、北京脑科学与类脑研究中心井淼实验室、美国弗吉尼亚大学J. Julius Zhu和B. Jill Venton实验室等国内外团队的合作帮助,并得到PA视讯游戏平台官网膜生物学国家重点实验室、国家自然科学基金、脑科学与类脑研究北方科学中心地方配套科研项目、北大-清华生命科学联合中心及美国脑计划等机构的大力支持。
原文链接https://www.nature.com/articles/s41593-021-00823-7
相关评论:
Jing Ren (Group leader at MRC Laboratory of Molecular Biology, Cambridge, UK)
Wan et al. presents a novel genetically encoded neurotransmitter sensor that can be used to image serotonin (5-HT) release, allowing neuroscientists to study the precise mechanisms of 5-HT signaling.
Mental illnesses affect more than 1 billion people globally. The serotonin (5-HT) system is the most frequently targeted neural system for treating mental illnesses, including depression and anxiety. Thus, understanding the 5-HT system is crucial for both basic and translational studies. However, the 5-HT system is extremely complicated across anatomical, physiological and behavioral levels, making it one of the most mysterious neural systems. It has brought enormous challenges to the study of its function and signaling mechanism. In order to understand when, where and how 5-HT is released during normal daily life and mental illness conditions, we need to “see” 5-HT in real-time and we need tools like genetically encoded neurotransmitter sensors to help us “see” it.
Genetically encoded neurotransmitter sensors are generally assembled from two components, a transmitter sensing domain and a reporter domain (e.g. fluorescent protein). This GRAB5-HT1.0 sensor developed in Prof. Yulong Li’s lab is one of their brilliant designs utilizing G-protein coupled receptors (GPCRs) as the sensing domains. It is based on the serotonin receptor HTR2C. GRAB5-HT1.0 was shown to detect serotonin in cultured cells, mouse brain slices, living fly and mouse brains. It is highly specific, exhibiting excellent sensitivity for measuring extracellular 5-HT dynamics. By using this sensor, Wan et al. finds that 5-HT levels change dynamically throughout the sleep–wake cycle in mice, indicating the wide applications for GRAB5-HT1.0 sensor in imaging 5-HT changes in the brains of live animals.
We expect that with innovative tools like GRAB5-HT1.0 and its upgrading versions, the relationships among the activity of 5-HT neurons, the release of 5-HT and its influences on the downstream neurons will be revealed soon. Hopefully, in the near future, these findings will help us to tackle the 5-HT system and we can finally understand the role of serotonin in the aetiology of mental illnesses.
任婧 (英国MRC分子生物学实验室课题组组长)
李毓龙团队开发了一种新型可遗传编码的5-HT荧光探针,该探针使得神经科学家们能够精确地研究5-HT的信号通路。
全球范围内有超过10亿人在遭受精神类疾病的折磨,而5-HT能系统是很多精神类疾病的治疗靶点,包括抑郁症和焦虑。因此,更好地了解5-HT能系统对于基础研究和转化医学研究都至关重要。然而,5-HT能系统无论是在解剖结构,还是在生理行为水平都非常复杂,这让它成为最神秘的神经系统之一。这也给5-HT能系统功能和信号通路的研究带来了极大的挑战。为了了解5-HT在生理和病理情况下是何时、何地以及如何被释放地,我们需要实时地观察5-HT的动态变化,而可遗传编码的神经递质探针可以帮助我们更好地观测5-HT。
可遗传编码的神经递质荧光探针通常包括两个部分,即神经递质结合域和荧光蛋白报告域。李毓龙教授实验室开发的5-HT探针GRAB5-HT1.0是他们利用G蛋白偶联受体(GPCR)作为神经递质结合域开发探针的杰作之一。GRAB5-HT1.0探针的神经递质结合域是5-HT受体HTR2C。GRAB5-HT1.0探针能够在培养的细胞、小鼠脑切片、活体果蝇以及小鼠大脑中检测5-HT的动态变化。GRAB5-HT1.0探针还具有很高的特异性,在检测细胞外5-HT动态变化时也表现出极高的灵敏度。此外,李毓龙团队利用此探针在自由活动小鼠的睡眠-觉醒周期中检测到5-HT的动态变化,表明GRAB5-HT1.0探针可以被广泛应用于检测活体动物大脑中的5-HT。
我们希望借助GRAB5-HT1.0探针及其升级版本等创新型工具,尽快揭示5-HT神经元活性与5-HT释放之间的关系及其对下游神经元的影响。希望在不久的将来,这些新的发现将能够帮助我们更好地了解5-HT能系统,并最终理解5-HT在精神疾病中的作用。
任超然(暨南大学研究员,国家优青获得者)
5-HT是大脑内重要的单胺类神经递质,可作用于表达在不同脑区细胞上的5-HT受体,调节神经活动,进而影响机体的情绪、认知、睡眠等重要生理功能。在大脑中,5-HT主要由背侧中缝核(DRN)的5-HT能神经元合成,该类神经元广泛支配众多下游脑区,构成了中枢神经系统的5-HT系统。5-HT系统结构复杂,一方面是因为5-HT神经元投射广泛,另一方面单个脑区内往往包含多种不同类型受体和神经元。因此,解析5-HT系统在特定行为中的作用及调控机制一直是神经科学研究的前沿热点之一。而精确测量特定脑区中5-HT水平的动态变化是回答以上问题的关键。
PA视讯游戏平台官网李毓龙教授所领导的团队是新型神经递质感受器研发领域的先驱,近年来他们已自主研发了可高效检测乙酰胆碱、多巴胺、去甲肾上腺素、腺苷等神经递质的探针,上述探针已广泛应用于神经环路功能及递质释放调控机理等领域的研究。近日,Nature Neuroscience报道了李毓龙教授团队自主研发的新型5-HT探针,5-HT1.0。他们通过对天然5-HT受体5-HT2C进行改造,巧妙的在其中插入对构象敏感的绿色荧光蛋白cpGFP,使得该嵌合体与5-HT结合时可发生构象变化,使绿色荧光信号上升,因此可通过检测荧光亮度变化来反应5-HT水平的变化。在该工作中,他们还通过一系列离体(HEK293T细胞,小鼠脑片)与在体(果蝇,小鼠)实验证明5-HT1.0探针对5-HT具有较高亲和力及特异性、反应迅速等优点,而且该探针的表达不会对胞内信号通路产生明显干扰。更为重要的是,5-HT1.0探针与遗传学(如病毒载体)及在体光学记录工具(如光纤记录)相结合,可在自由活动动物中动态观测特定脑区不同类型神经元所接收的5-HT输入。5-HT1.0探针的研发无疑为解析5-HT系统在特定行为中的作用及调控机制提供了一大利器,也期待李毓龙教授团队在神经递质探针研发领域再创佳绩。
李晓明(浙江大学教授,长江学者)
二十世纪八十年代,人们发现5-HT再摄取抑制剂具有抗抑郁作用,由此引发了5-HT系统研究的热潮。随后的三十年间,人们对5-HT系统进行了较为全面的研究。这些研究描述了5-HT受体系统的复杂性,也揭示了5-HT系统在情绪、稳态和本能行为中的重要调控作用。但是,由于缺乏精准的5-HT检测手段,5-HT信号传递相关的研究进展十分缓慢;5-HT的动态变化如何调节生理功能,5-HT再摄取抑制剂起效时间的延迟是否与其动态变化有关,目前仍不清楚。
近年来,PA视讯游戏平台官网李毓龙教授团队致力于开发可遗传编码的神经递质/调质荧光探针,创造性地实现了多种神经递质/调质(如乙酰胆碱、多巴胺、去甲肾上腺素、腺苷等)在高时空分辨率上的在体可视化检测,推动神经递质的研究进入在体定量研究的新时代。利用这些探针,人们对多巴胺、腺苷等神经递质和调质的功能有了全新的认识。
在2019年冷泉港亚洲会议的报告和学术海报中,李毓龙教授团队就初步展示了关于5-HT荧光探针的研究进展,令人感到十分兴奋。近日,李毓龙教授团队研发的新型5-HT探针正式在Nature Neuroscience发表。该探针具有高度的特异性、合适的亲和力和动力学特性,可用于检测在体生理和病理条件下脑内5-HT的动态变化。文章中果蝇和小鼠两种常见模式动物的数据,表明该探针在体应用中具有较高的信噪比和时空分辨率,能够反映不同脑区5-HT水平随时间的动态变化情况。本人实验室有幸提前使用李毓龙教授团队的5-HT探针,检测了特定行为情况下小鼠脑内特定脑区5-HT的动态变化情况,发现其具有极高的灵敏度。相信该探针将为5-HT系统的研究带来突破性的进展。此外,近年来,在乙酰胆碱、多巴胺荧光探针的研发中,李毓龙教授团队不断进行更新迭代,开发了能够应用于不同脑区的高灵敏度探针。与乙酰胆碱、多巴胺系统相比,5-HT系统更为复杂,作用范围也更加广泛。因此,我们十分期待下一代5-HT探针的出现。
我们震撼于李毓龙教授团队关于神经递质/调质荧光探针的一系列工作,也非常感谢他们在材料资源上的开放和共享。