The STING Phase-Separator Suppresses Innate Immune Signaling
Apr. 09, 2021
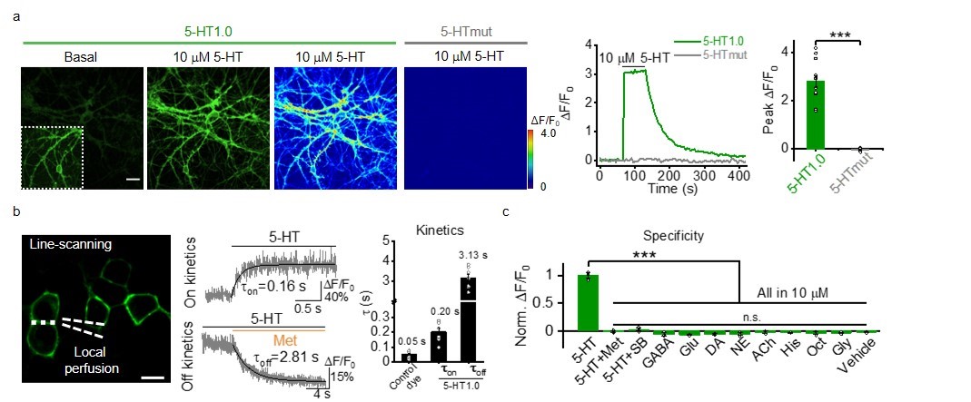
A genetically encoded sensor for measuring serotonin dynamics
Apr. 06, 2021
Transcriptional regulation of intermolecular Ca2+ signaling in hibernating ground squirrel cardiomyocytes: The myocardin–junctophilin axis
Apr. 06, 2021
Evolutionary analysis and lineage designation of SARS-CoV-2 genomes
Mar. 26, 2021
Manganese salts function as potent adjuvants
Mar. 26, 2021
Structural and Functional Analyses of Hub MicroRNAs in an Integrated Gene Regulatory Network of Arabidopsis
Mar. 02, 2021
Current understanding of the interplays between host hormones and plant viral infections
Mar. 02, 2021
RNA polymerase III is required for the repair of DNA double-strand breaks by homologous recombination
Feb. 25, 2021
The PIF1-miR408-PLANTACYANIN Repression Cascade Regulates Light-Dependent Seed Germination
Feb. 24, 2021
Determinants of genome-wide distribution and evolution of uORFs in eukaryotes
Feb. 19, 2021